Clinical Cases
Before & After Photos
Take a look at some of our recent casework. All work depicted below was completed by Dr. Logan Orr. We strive for excellence. Outcomes are dependent upon clinical circumstances.
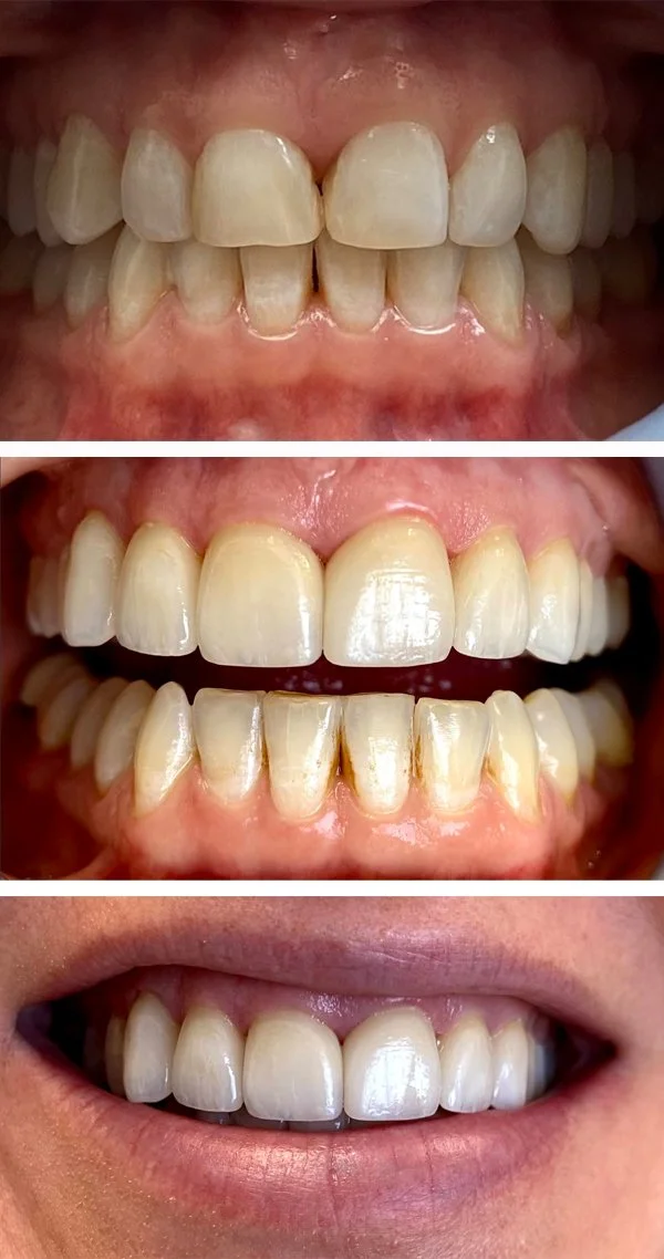
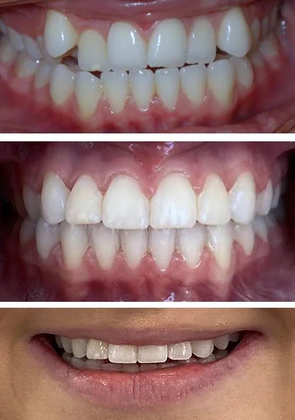
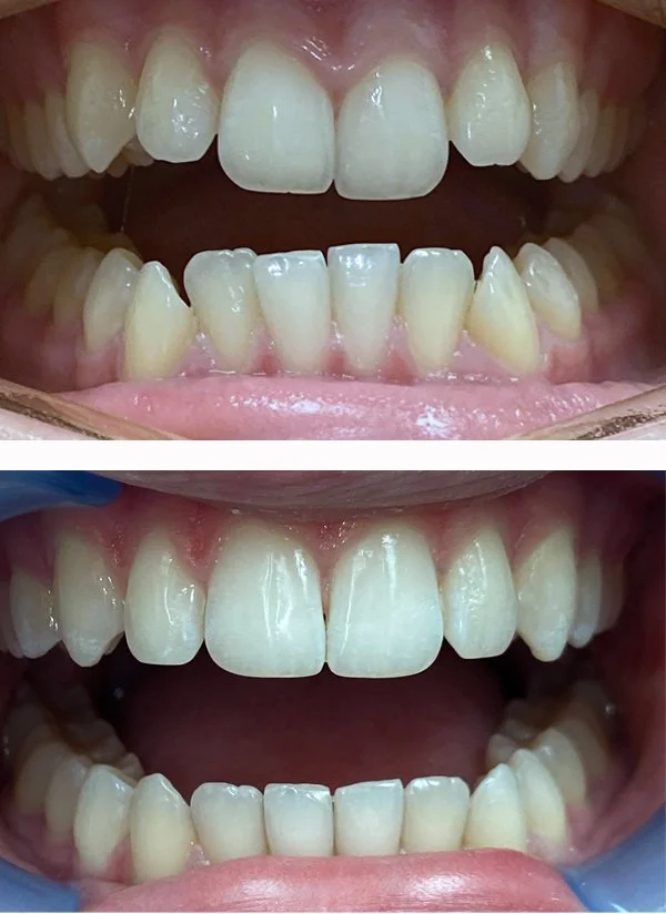
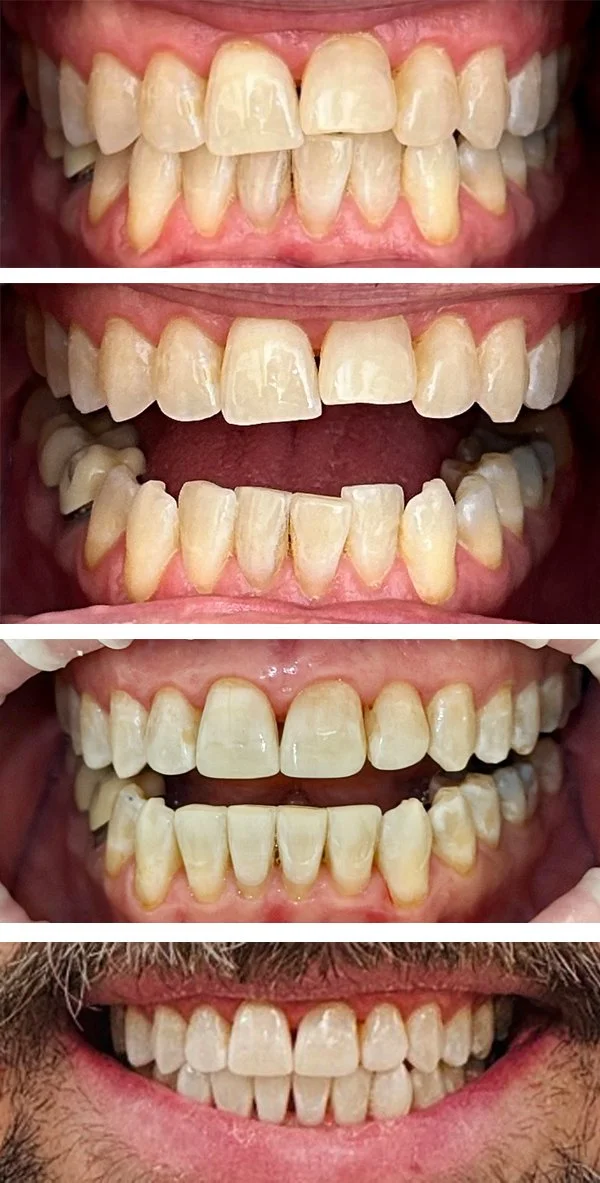
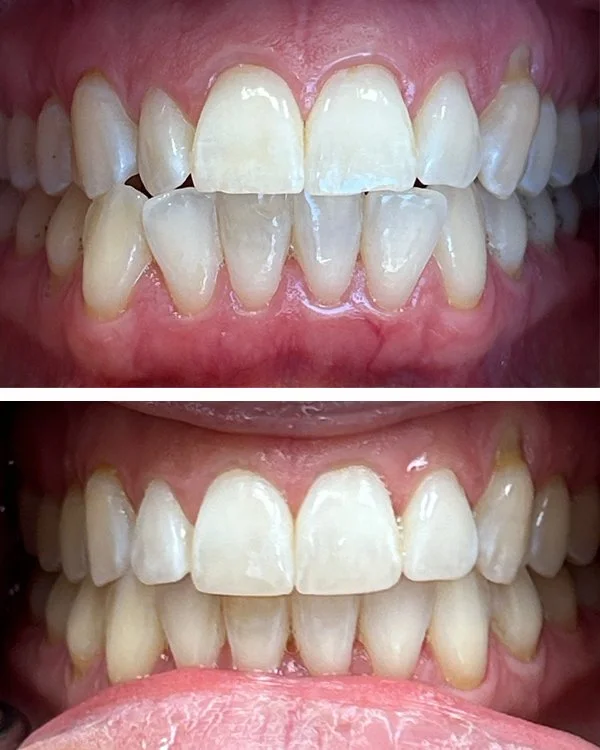
Cosmetics
We can improve the appearance of your teeth in a way tailored to you. Crowns, veneers, tooth shaping, and dental bonding may be used.
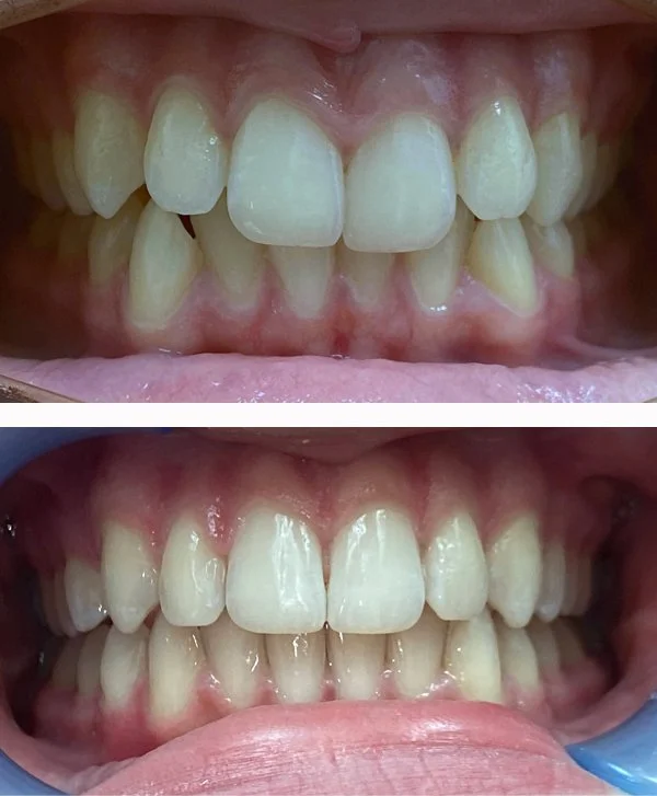
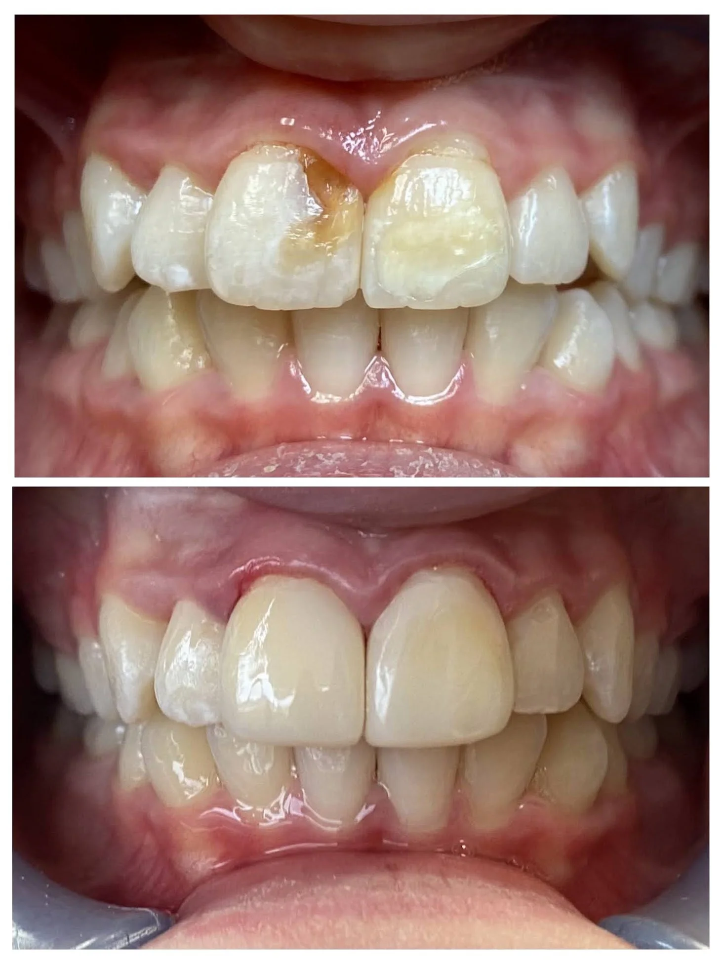
Bioclear restorations
Dental Bonding
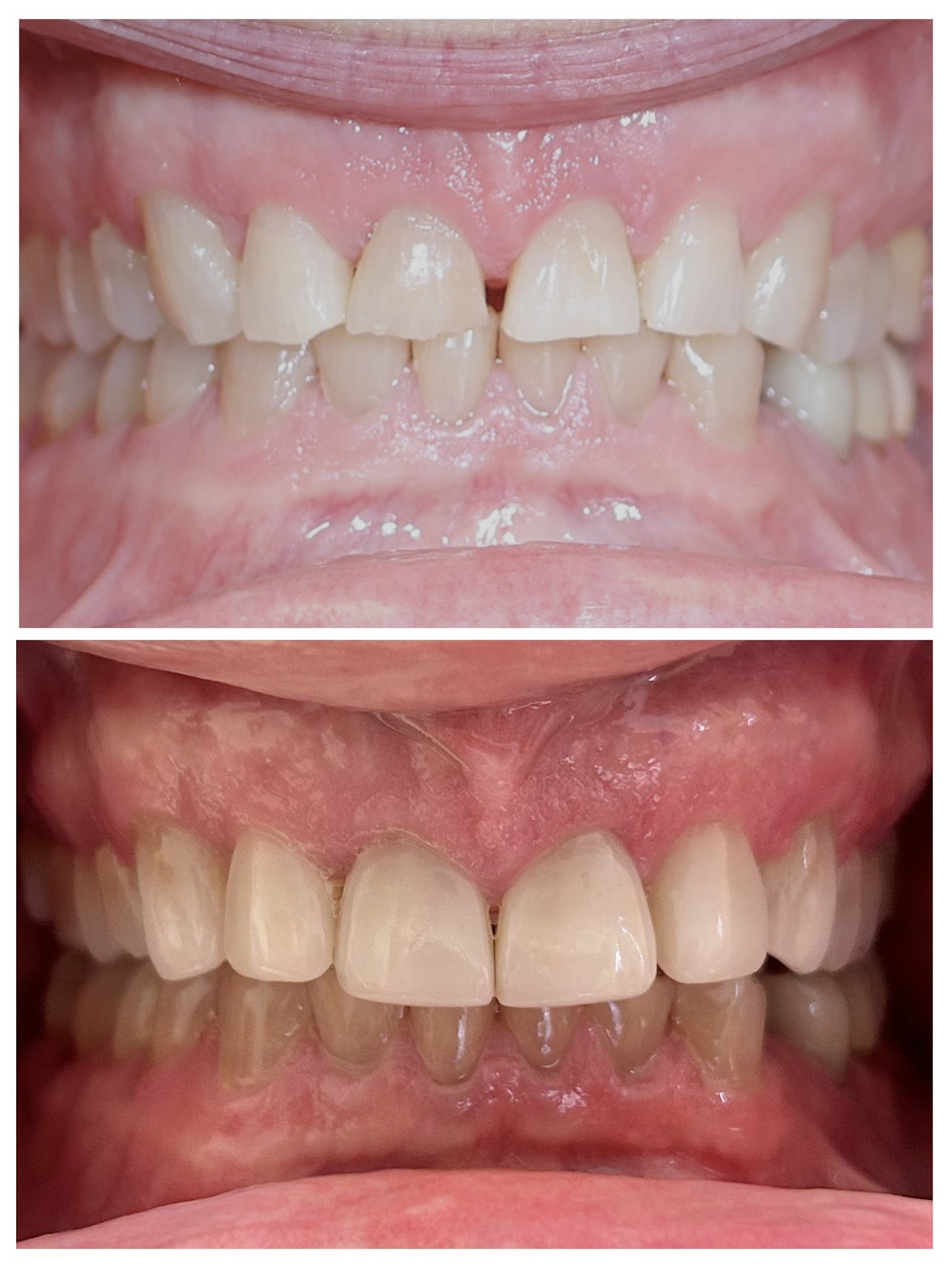
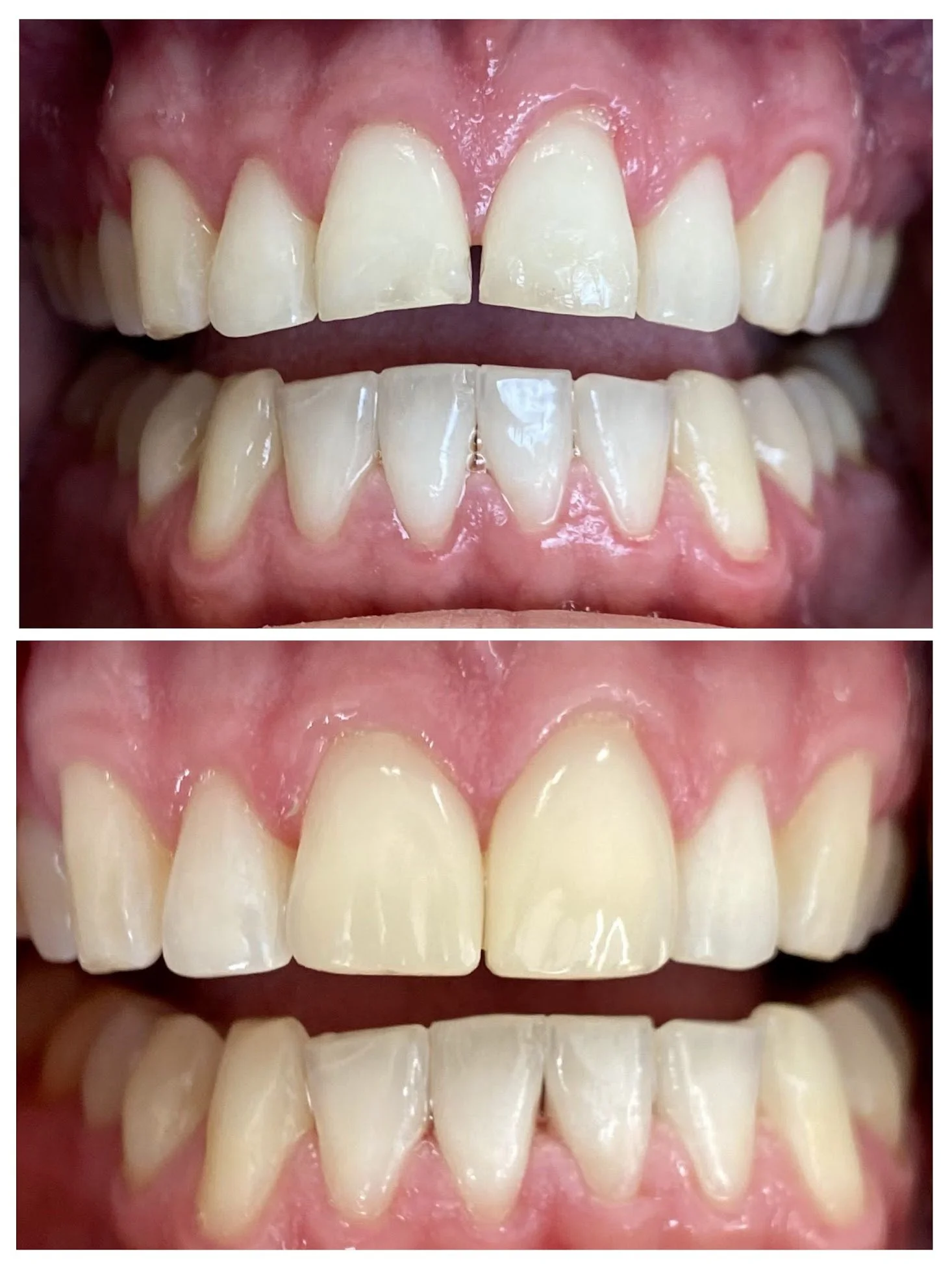
Veneers
Tooth reshaping
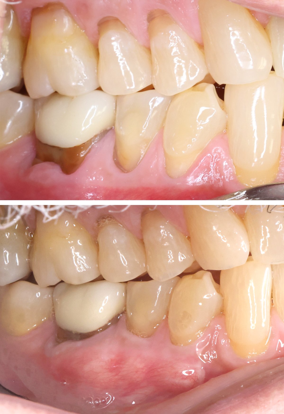
Crowns
Crowns
Crowns
Bioclear Restorations, bonding
Restoration
Crown and Bridge
Crown and bridge
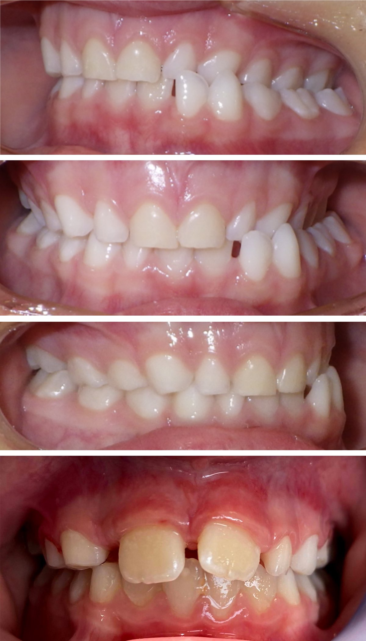
Orthodontics
Movement of teeth to improve function and appearance with Invisalign
Invisalign
Before and after appliance
Orthodontic Appliance
Emergencies
Relief from pain is the primary objective. Temporary and long term solutions available based on the clinical scenario.
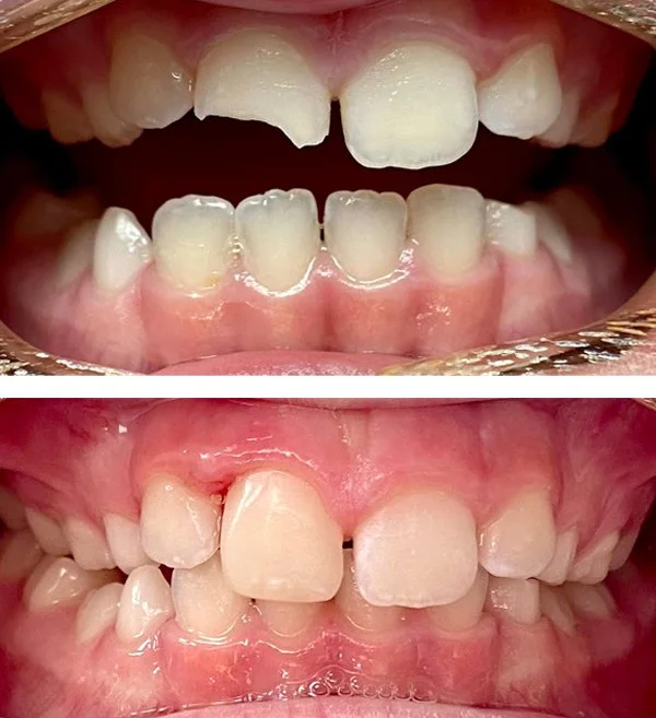
Tooth Fracture
Tooth Fracture
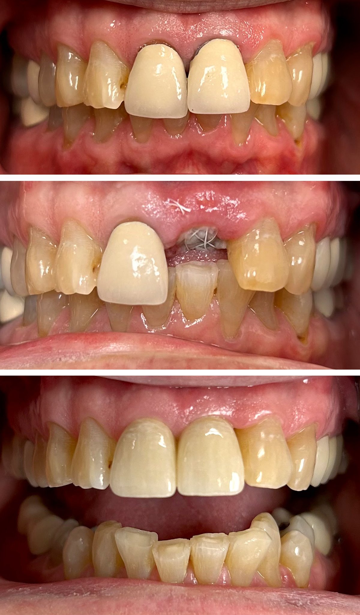
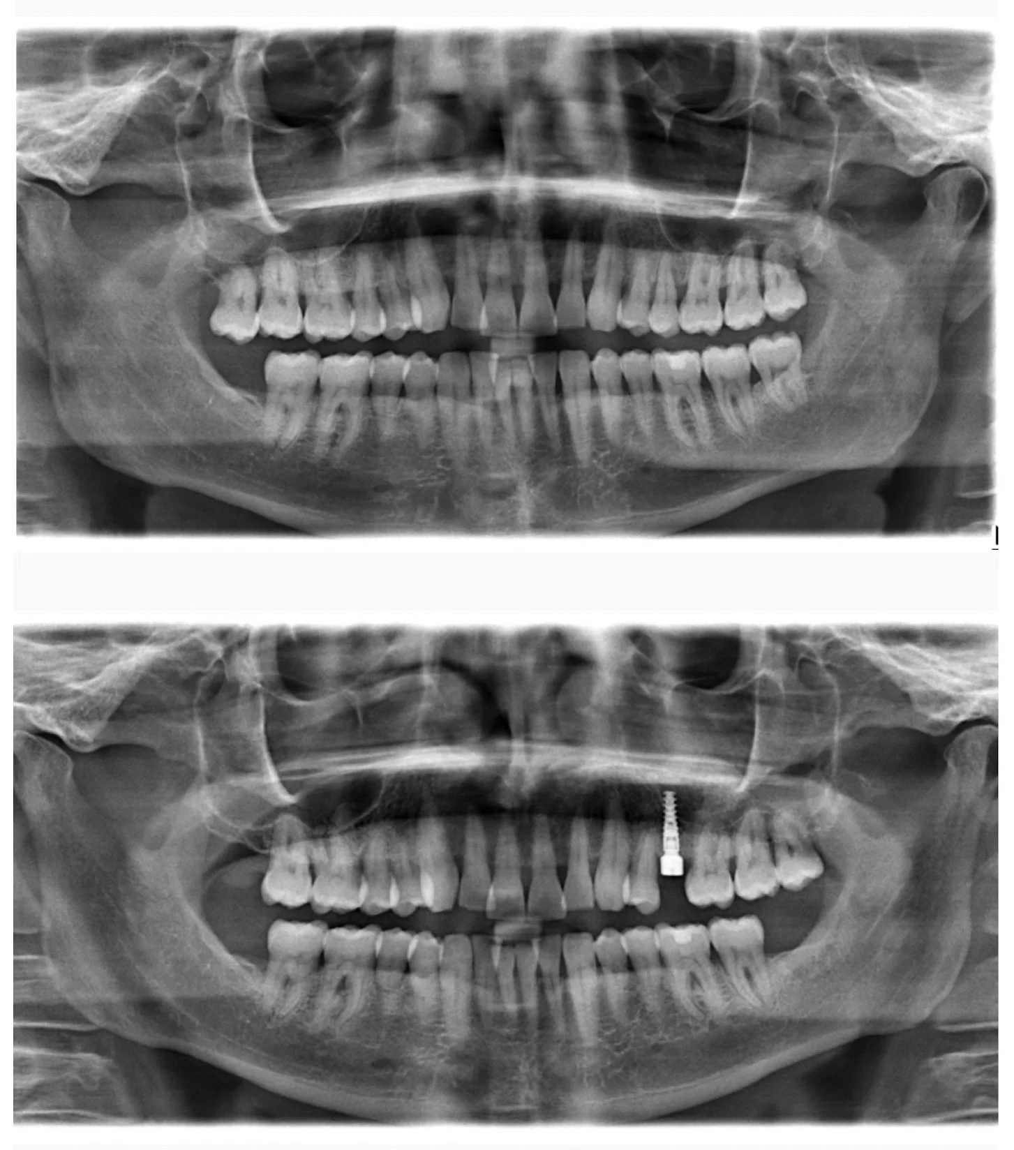
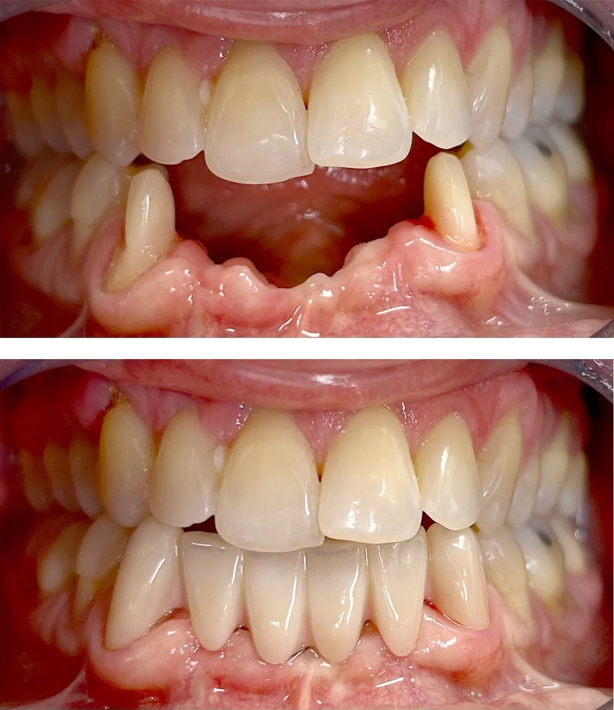
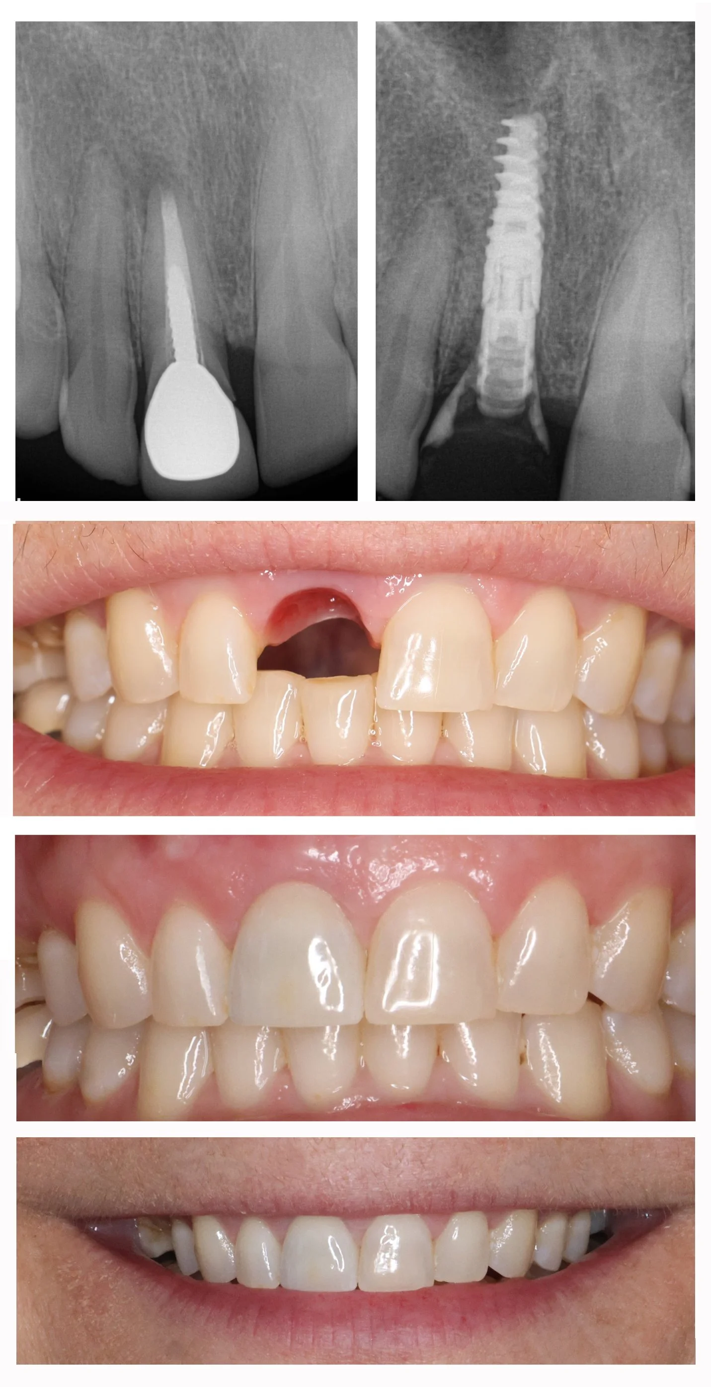
Dental Implants
With the newest technology and products, we can provide a predictable solution for tooth loss.
Implant planning
Implant placement
Implant placement
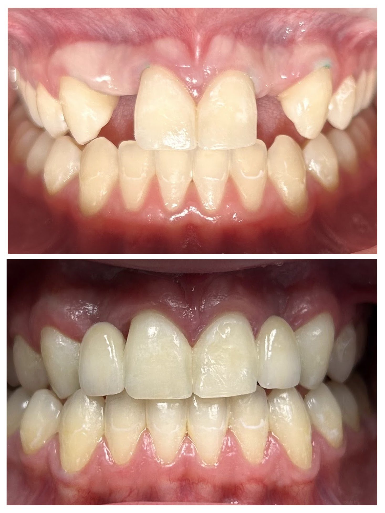
Extraction of tooth and placement of immediate implant
Implant Planning with CBCT imaging
Before and after implant placement of front tooth, restored with custom crown
Tooth replacement with implant and crown
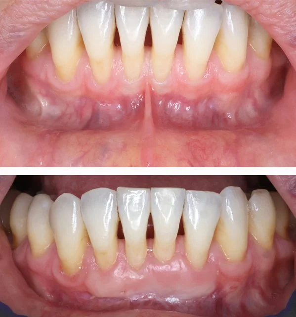
Soft Tissue Graft
We treat gum recession to enhance aesthetics, strengthen gum tissue, and provide better long-term support for teeth and dental implants.
Free Gingival Graft
Free Gingival Graft
Free Gingival Graft
Free Gingival Graft (premolars)

